女人牙龈出血的原因以及缓解的方法
生活中有不少的朋友吃东西或者是喝水的时候总是出现流血的情况,其实这是牙龈出血了。那牙龈出血是什么原因呢?它不仅仅是口腔问题也有可能是全身疾病的因素哦。今天就带着大家去瞧瞧牙龈出血的原因以及有效的缓解方法。

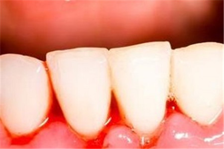
牙龈出血或是这些原因
第一:刷牙过于用力
很多人刷牙的时候都会用力的刷,横冲直撞的。那么你要知道牙龈是极为脆弱的,当你刷牙用力过猛时就会导致牙龈出现破裂出血哦。
第二:口腔疾病
其实导致牙龈出血最常见的原因就是口腔类疾病了。比如说牙周炎,这类患者在日常中吃点东西就可能会导致流血,而且药物止血也没有多大的效果。比如说臼齿,患者 的牙齿很容易出现边缘不齐而且尖锐哦,这就会导致牙龈经常受到刺激而出血哦。

第三:全身疾病
其实不仅仅是口腔疾病导致了出血,一些全身性的疾病也会造成牙龈出血哦,比如白血病或者是肝硬化以及贫血等等。
第四:压力大
牙龈出血是什么原因呢?跟你的压力也有关系哦。一般来说压力大的朋友经常会出现牙龈出血而且还伴有口臭哦。但你出现这些症状时就可能是压力过大了,所以要适当去减压哦。

















